Авторизация:


Регистрация на сайте!
Забыли пароль?



Пористые волосы от природы
Юзер веб-сайта Woman.ru осознает и воспринимает, что он несет полную ответственность за все материалы отчасти либо стопроцентно размещенные им при помощи сервиса Woman.ru. Юзер веб-сайта Woman.ru

Главная Новости

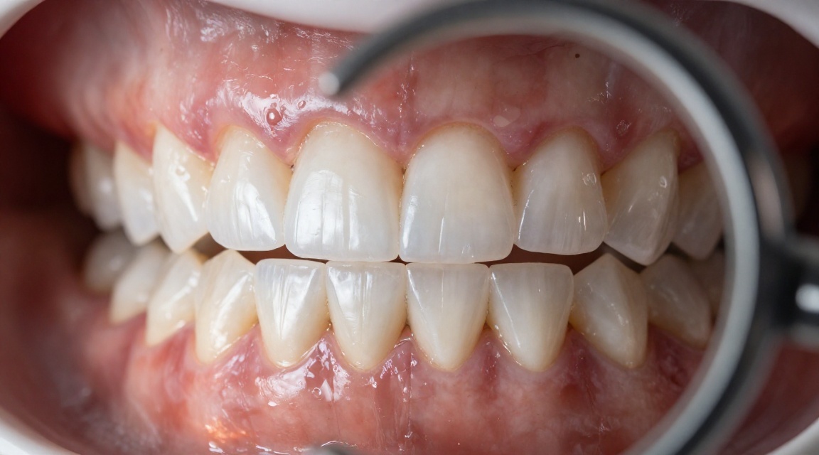
Протезирование зубов в Уфе: как вернуть улыбку и уверенность в себе

Опубликовано: 26.04.2026

Потеря зуба — это не только про эстетику. Это про неловкость в разговоре, про стеснение на фотографиях, про постоянную мысль «лишь бы не заметили». А еще — про постепенное разрушение прикуса, смещение соседних зубов и проблемы с желудком из‑за плохого пережевывания пищи.

Именно поэтому протезирование — это не роскошь и не «потом как-нибудь». Это полноценное лечение , которое возвращает человеку нормальную жизнь. В Уфе сегодня доступны современные методы восстановления зубов — от классических коронок до комплексной имплантации. Главное — понять, какой вариант подойдет именно в конкретной ситуации.

С чем чаще всего приходят пациенты

В практике клиник Уфы картина повторяется изо дня в день.

    • Зуб разрушен настолько, что пломба уже не держится.
    • После удаление зуба прошло несколько месяцев, а на его месте — пустота.
    • Старый мост расшатался и начал натирать десну.
    • Появились проблемы с суставом из-за неправильного распределения нагрузки.

Многие тянут до последнего. Кто-то боится боли, кто-то цены, кто-то просто не знает, с чего начать. Но правда в том, что современная стоматология давно ушла вперед. Процедуры проходят комфортно, а результат выглядит естественно — отличить от своих зубов практически невозможно.

Протезирование зубов в Уфе: как вернуть улыбку и уверенность в себе

Какие варианты протезирования доступны в Уфе

1. Коронки

Если корень сохранен, а верхняя часть зуба разрушена — устанавливается коронка. Она полностью повторяет анатомию зуба и берет на себя жевательную нагрузку.

Пример из практики: мужчина 42 лет откладывал восстановление «шестерки» больше года. В итоге зуб раскололся окончательно. После подготовки и установки керамической коронки он признался, что зря боялся — вся процедура заняла несколько визитов, а дискомфорт был минимальным.

2. Мостовидные протезы

Подходят, если отсутствует один или два зуба подряд, а соседние — крепкие. Конструкция фиксируется на опорные зубы.

Минус — приходится обтачивать соседние зубы. Поэтому сегодня пациенты все чаще рассматривают альтернативу.

3. Имплантация

Имплантация — это установка титанового корня в костную ткань с последующей фиксацией коронки. Метод позволяет восстановить зуб без повреждения соседних.

В Уфе процедура стала стандартной. Особенно в клиниках с современным оборудованием, таких как novikovski , где работают по цифровым протоколам.

Живой случай: женщина 55 лет потеряла передний зуб. Она переживала, что имплант будет заметен. После установки и протезирования даже близкие не смогли отличить искусственный зуб от натуральных.

4. Съемные конструкции

Используются при множественной потере зубов. Современные материалы сделали их гораздо удобнее и эстетичнее, чем 10–15 лет назад.

Протезирование зубов в Уфе: как вернуть улыбку и уверенность в себе

Как проходит процесс: по шагам

Чтобы у пациента не было ощущения неизвестности, важно понимать весь путь.

Первичная консультация

Врач оценивает состояние полости рта, делает снимки, при необходимости назначает дополнительное лечение . Иногда требуется удаление разрушенных корней или терапия десен.

Подготовительный этап

Если планируется имплантация , проверяется объем костной ткани. При необходимости проводится костная пластика.

Установка конструкции

В зависимости от выбранного метода это может быть фиксация коронки, установка импланта или изготовление съемного протеза.

Контроль и адаптация

После протезирования важно прийти на контроль. Иногда требуется небольшая коррекция прикуса или формы.

А что если зубы неровные?

Бывает и так: пациент планирует протезирование, но прикус нарушен. В этом случае врач может рекомендовать предварительно установить брекеты . Да, это увеличивает срок лечения, но зато результат будет стабильным и долговечным.

В Уфе все чаще практикуют комплексный подход: ортодонтия + имплантация + эстетическое восстановление. Такой формат позволяет не просто «закрыть дырку», а полностью выстроить правильную жевательную систему.

Протезирование зубов в Уфе: как вернуть улыбку и уверенность в себе

Почему важно не откладывать

После потери зуба костная ткань начинает убывать. Через год ее объем может уменьшиться настолько, что имплантация станет сложнее и дороже.

Кроме того:

    • соседние зубы смещаются;
    • возрастает нагрузка на противоположную челюсть;
    • появляются проблемы с дикцией;
    • меняется овал лица.

И тогда вопрос уже не только в эстетике, а в общем состоянии здоровья.

Протезирование зубов в Уфе: как вернуть улыбку и уверенность в себе

Сколько времени занимает протезирование зубов в Уфе

Все зависит от метода:

    • коронка — от 1 до 2 недель;
    • мост — около 2–3 недель;
    • имплантация с приживлением — от 3 до 6 месяцев;
    • съемные конструкции — 2–4 недели.

Современная стоматология активно использует цифровое моделирование. Это позволяет заранее увидеть результат и сократить сроки.

Что в итоге получает пациент

Не просто восстановленные зубы. Человек получает:

    • уверенность в разговоре и улыбке;
    • комфорт при приеме пищи;
    • правильное распределение нагрузки;
    • естественную эстетику.

Протезирование зубов в Уфе сегодня — это не пугающая процедура из прошлого, а четко выстроенный медицинский процесс. С прогнозируемым результатом и понятными этапами.

Главное — не ждать, пока ситуация станет критической. Один визит на консультацию способен расставить все по местам и показать, что решение есть практически всегда.

При использовании материалов ссылка на источник обязательна. Copyright © 2016 minusof.ru All Rights Reserved.
...здесь код счётчика...